• <li id="oo0oo"></li>
  • <li id="oo0oo"></li>
  • <li id="oo0oo"><tt id="oo0oo"></tt></li>
    <li id="oo0oo"></li>
  • 年輕女子照磁力共振,竟因體內“性玩具”致恐怖創傷

    發布時間:2025-01-16 08:49

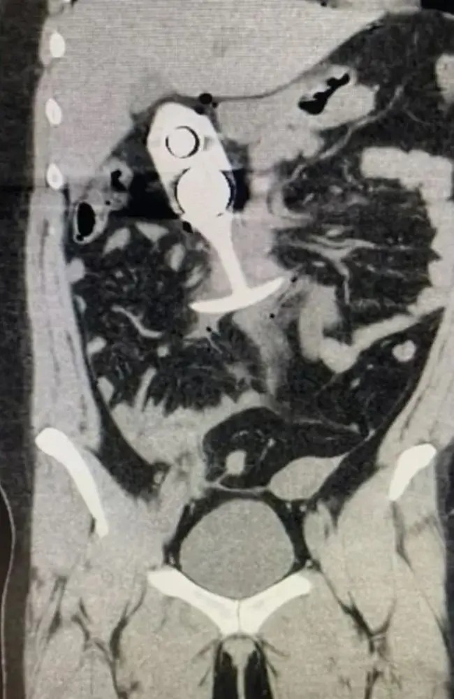
    美國一名23歲女子在接受磁力共振掃描時,竟因體內一件她相信是100%硅膠的“性玩具”,導致她遭受嚴重創傷。

    年輕女子照磁力共振

    磁力共振(MRI)掃描使用強力磁鐵和無線電波來創建身體內部的高度詳細影像,因此在進行掃描前,須從身體上取走所有金屬物體。然而,涉事女子在接受MRI檢查時,肛門內插入了一個硅膠塞,并沒有取出來。這個匿名女子并不知道,她本以為身上那件是100%硅膠的性玩具,其核心實際上含有金屬。

    一份向美國食品及藥品管理局(FDA)提交的報告稱,事件導致該個成人性玩具“穿過她的身體”,導致患者“痛苦尖叫”。

    雖然這宗事件發生在2023年4月,但據稱顯示患者事發后掃描的圖像,最近開始在網上流傳,提示人們不要在掃描期間佩戴任何金屬物品。

    肛塞穿過女子身體,致她身受重傷。 路透社

    ▲肛塞穿過女子身體,致她身受重傷。 路透社

    網站上除有掃描照外,還附有一張短訊的截圖。 網圖

    ▲網站上除有掃描照外,還附有一張短訊的截圖。 網圖

    X平臺用戶DreadPirateZero在其分享的一則帖文中寫道:“去做核磁共振檢查時,千萬不要戴肛塞。我的天啊! ”除了掃描照片外,還附有一張短訊的截圖,發訊者是名叫Matt Z。

    短訊稱:“我聽說過的最嚴重的人身傷害案件:資深律師古德諾接待了一位客戶,她起訴一家性玩具公司。該名顧客購買了一個肛塞,相關廣告中聲稱它為‘100%硅膠’。顧客戴著它去進行MRI掃描。令客戶沮喪的是,那個肛塞實際上內有金屬芯?!?/p>

    有關內容進一步聲稱,塞子以“聲速”從患者的直腸被拉到胸腔,受創者幸存下來,但傷勢嚴重。

    還有官方報告證實,該女子使用磁力共振掃描設備時發生了“不良事件”,“患者接受了篩檢,但并未透露自己插入了肛塞”。

    報告并說,檢查結束、技術員把檢查臺拉出來時,病人開始尖叫?!安∪朔Q她感到惡心、疼痛,感覺要昏過去了。我們為這名病人叫了一輛救護車并將她送往醫院?!?/p>

    據悉,MRI機器中使用的磁鐵強度極高,通常介乎0.5至3特斯拉(T)單位,比冰箱磁鐵(約0.001特斯拉)強得多,大約是地球磁場的10萬倍。

    久久五月综合婷婷私