• <li id="oo0oo"></li>
  • <li id="oo0oo"></li>
  • <li id="oo0oo"><tt id="oo0oo"></tt></li>
    <li id="oo0oo"></li>
  • 罕見?。凶右凰洋@見所有人如“惡魔”,面容扭曲如看恐怖片,醫生揭4因素易引發

    發布時間:2024-03-28 15:02

    一覺睡醒后發現所有人都五官變形,這種看似電影情節的橋段,竟然是一種罕見病的癥狀。美國田納西州一名58歲男子睡醒后,發現所有人的面容扭曲,變得有如“惡魔”臉孔。經醫生診斷后,發現男子罹患一種極為罕見的病癥,全球至今僅有75名患者。醫生指,有4大因素或會增加患上此病的風險。

    男子驚見所有人面容扭曲揭患1種罕見病

    該項病例于2024年3月23日被刊登在公共衛生雜志《刺針》(The Lancet)上,該名男患者Victor Sharrah是一名貨車司機,于三年前睡醒后發現室友的臉孔變得極為恐怖,甚至連其他人的五官的嘴角、眼角和耳朵都出現嚴重拉伸變尖,并出現深深的凹痕,有如恐怖電影的場景。然而,當他透過照片或計算機屏幕看其他人的面孔時,卻沒有出現扭曲情況。

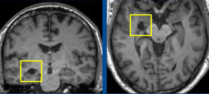
    醫生后來發現他的腦部出現一個大小約1厘米的圓形病灶,神經科醫生推測病灶可能是左側海馬回的蛛網膜囊腫,其后診斷他患有罕見的神經系統疾病臉部變形癥(Prosopometamorphopsia,PMO)。

    PMO患者眼中的面孔五官

    醫生其后發現他的腦部出現圓形病灶。(《The Lancet》圖片)

    ▲醫生其后發現他的腦部出現圓形病灶。(《The Lancet》圖片)

    PMO患者見到所有人五官都被扭曲(右圖為患者眼中的影象)。(《The Lancet》圖片)

    ▲PMO患者見到所有人五官都被扭曲(右圖為患者眼中的影象)。(《The Lancet》圖片)

    患者眼中旁人的嘴角、眼角和耳朵都出現嚴重拉伸變尖。(《The Lancet》圖片)

    ▲患者眼中旁人的嘴角、眼角和耳朵都出現嚴重拉伸變尖。(《The Lancet》圖片)

    并出現深深的凹痕。(《The Lancet》圖片)

    ▲并出現深深的凹痕。(《The Lancet》圖片)

    但透過照片或電腦螢幕看時,面孔卻沒有出現扭曲情況。(《The Lancet》圖片)

    ▲但透過照片或電腦螢幕看時,面孔卻沒有出現扭曲情況。(《The Lancet》圖片)

    4大因素易引發PMO 偏頭痛患者要小心

    為何會患上PMO?醫生指,Victor曾在43歲時意外跌倒,導致后腦出現嚴重受傷,而且在出現PMO癥狀之前4個月懷疑曾一氧化碳中毒,加上他本身有躁郁癥和創傷后壓力癥候群的病史,因此推測在多種因素下誘發PMO。醫生續指,PMO有以下4大致病成因:

    4大致病成因

    1. 頭部外傷

    2. 腦梗塞

    3. 癲癇

    4. 偏頭痛

    資料來源:《The Lancet》

    熱門文章
    久久五月综合婷婷私