• <li id="oo0oo"></li>
  • <li id="oo0oo"></li>
  • <li id="oo0oo"><tt id="oo0oo"></tt></li>
    <li id="oo0oo"></li>
  • 40歲男常氣喘,手指現1特征驗出肺結節!恐患肺癌?醫生教4步驟自測癥狀

    發布時間:2024-10-31 13:51

    觀察手指也可看出肺部問題?有醫生分享病例指,一名40歲男子常常氣喘,手指出現1種特征,求醫檢查后驗出肺結節。出現此情況,是否代表患肺癌風險也較高?

    杵狀指

    常氣喘手指現1特征 驗出肺結節

    胸腔內科醫生蘇一峰在其facebook專頁發文指,該名40歲男子平日沒有吸煙習慣,但近幾個月出現不斷氣喘的情況,遂往醫院求醫。醫生一看,發現該男子的手指明顯是“杵狀指”,而且幾乎十只手指也變成“杵狀指”。醫生隨即安排他照X光,結果驗出肺結節,就如“滿天星”。

    “杵狀指”

    ▲該名40歲男子出現“杵狀指”(圖片來源:“胸腔內科醫生蘇一峰”facebook專頁)

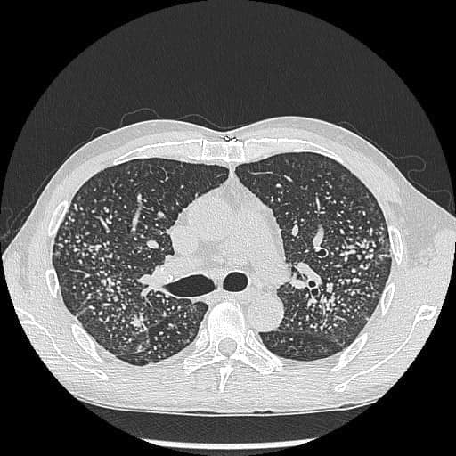
    該男子長滿肺結節

    ▲照X光發現,該男子長滿肺結節,如“滿天星”。(圖片來源:“胸腔內科醫生蘇一峰”facebook專頁)

    自測杵狀指癥狀 恐是肺癌征兆?

    為何會出現“杵狀指”?有何特征?蘇一峰醫生曾指出,“杵狀指”好發于心肺疾病患者,并不一定與肺癌有關,只是以肺癌、肺阻塞等肺部疾病最為常見。

    肺癌細胞所分泌的荷爾蒙激素也容易造成骨頭增生,令手指可能會呈現“杵狀指”。此外,身體經常缺氧容易導致四肢末端的骨頭增生腫大。

    蘇一峰醫生教如何分辨杵狀指,自測方法及步驟如下:

    伸出左右手指,并呈勾狀

    兩手指靠近互相併攏

    一般人在兩手靠攏后,手指中間會有一個菱形空隙

    如發現空隙消失,恐出現杵狀指

    肺癌6大成因及7大癥狀 廚房油煙增風險

    肺癌為香港頭號致命癌癥,根據香港醫管局資料,肺癌是一種惡性腫瘤,通常于下呼吸道系統,如支氣管和細支氣管的表皮細胞等部位產生。肺癌若能夠提早發現,能夠提高治癒率。

    可惜,大部分病人確診患上肺癌時已達中期或晚期,增加了治療的難度。因此高危人士(吸煙人士與經常吸食二手煙的人)要對呼吸道疾病保持警覺,以便及早發現肺癌,增加治癒率。

    肺癌有何常見癥狀?

    持續性咳嗽

    痰中帶血

    胸肺反覆受到感染或經久難癒

    聲音嘶啞

    胸部不適,咳嗽或深呼吸時感到疼痛

    食慾不振及體重下降

    容易疲倦

    甚麼因素易引發肺癌?

    吸煙或常吸入二手煙

    長期缺乏進食新鮮蔬菜、水果和含豐富維他命A的食物

    長期吸入廚房油煙

    經常進食經燒烤、醃制的食物

    長期吸入燃燒香燭的煙霧

    種族或遺傳因素

    資料來源:胸腔內科醫生蘇一峰、香港癌癥網上資源中心、香港醫管局

    熱門文章
    久久五月综合婷婷私